Transfusion Guidelines
If there are other topics you are interested in learning about, send them to alex.smith@lifeservebloodcenter.org.
Where Do Blood Products Come From?
There are two methods to collect from donors...
• Whole Blood Donations
• Apheresis Donations
Whole Blood - The Most Common Method
Red Blood Cells
|
Plasma
|
Platelets
|

|

|

|
Apheresis Donation
RED BLOOD CELLS
Anemia
• Anemia is associated with adverse outcomes
• Transfusion is a short-term treatment
• Diagnose and treat the underlying cause of anemia
|
Oxygen Delivery
• Blood delivers oxygen to tissues
• Anemia has the potential to reduce oxygen delivery
• Most patients are able increase tissue oxygen delivery and extraction
|
Oxygen Delivery (DO2)
• DO2 = cardiac output (heart rate, stroke volume) x arterial oxygen content
• Cardiac output increase is generally enough in healthy patients
• In critically ill, DO2 may become more dependent on arterial oxygen content
|
Restrictive Transfusions Strategies
• Transfusing at a lower Hb concentration ? 7 to 8 g/dL
• Excellent clinical trial data to support this strategy for most patients
• Reduces unnecessary transfusions
|
Factors to Consider
• Transfusions should provide enough RBCs to maximize clinical outcomes while avoiding unnecessary transfusions
• Should be considered a short-term treatment with a mixed risk-benefit profile
• The cause of the anemia
|
 |
 |
 |
|
|
Red Blood Cell (RBC) Transfusion Decisions in Adults
|

|
The decision to transfuse always incorporates an assessment by the clinician caring for the patient. Thresholds included here are based on data from clinical trials; refer to UpToDate for details. This algorithm does not apply to individuals with hemoglobinopathies (sickle cell disease, transfusion-dependent thalassemia); separate criteria apply to these individuals as discussed in UpToDate. To convert hemoglobin to g/L, multiply by 1 O (hemoglobin of 7 g/dL = 70 g/L). Refer to UpToDate topics on indications for transfusion for further details and discussions.
CAD: coronary artery disease; GI: gastrointestinal; ICU: intensive care unit; RBC: red blood cell.
Assessment includes:
• Symptoms (and whether attributable to anemia)
• Clinical status (vital signs, signs of hemodynamic instability, cardiac and respiratory examination)
• Underlying comorbidities
• Hemoglobin level
• Rate of hemoglobin decline and cause (active bleeding versus ongoing hemolysis versus decreased RBC production)
|
Rarely, an individual with hemoglobin below an accepted threshold may decline transfusion Uehovah's Witness, healthy young adult); it is important that they understand the risks and alternatives. Rarely, an individual with a hemoglobin above 1 O g/dl may warrant transfusion, such as if there are clear symptoms attributable to anemia and the cause of anemia cannot otherwise be rapidly treated.
Rapidly declining hemoglobin includes rapid bleeding associated with hemodynamic instability or a fall in hemoglobin of ≥2 g/dL per day.
Exceptions to the Restrictive Threshold
Symptomatic Patients
• Symptoms are severe enough and clearly related to the anemia
• Hb < 10 g/dL
• Irritability, weakness, exercise intolerance are nonspecific and often not considered indications
• Ensure that the symptoms improve post-transfusion
|
Acute myocardial infarction
• < 10 g/dL
Palliative care
• No clinical trials in palliative care patients
• Case-by-case
• Assess symptoms before and after transfusion to guide future transfusion decisions
• Insurance may not cover
|
One Unit at a Time
• Avoids unnecessary transfusions
• Post-transfusion Hb can be performed 15 minutes after transfusion (if the patient is not bleeding)
• Initiate/continue treatment for underlying anemia
|
 |
 |
|
PLASMA
• All coagulation factors
• Soluble proteins
• Plasma transfusions are often misused
• Results in unnecessarily high use
• Closely monitor use and restrict when needed
• Generally indicated in the management of bleeding
• Deficiency of multiple coagulation factors
• Specific factor concentrate unavailable
|

|
Severe Liver Disease
• Patients may have bleeding due to decreased coagulation factor production
• Treat the underlying disease also
|
Disseminated Intravascular Coagulation (DIC)
• Complication of an underlying severe medical condition that triggers a systemic activation of the body's clotting system
> consumes the body’s clotting factors and platelets
> uncontrolled bleeding
• Treat the underlying disease also
|
Clotting Factor Deficiency
• First-line treatment should be coagulation factor concentrate
• Plasma may be used if concentrate is not available
> Factor II
> Factor V
|
Not Appropriate for…
• Correct excessive anticoagulation from a vitamin K antagonist, other anticoagulants, or causes of prolonged INR
> Especially in the absence of bleeding
• However, may be used if prothrombin complex concentrate is not available to…
> Treat bleeding
> Prevent surgical bleeding
Dose - 10 to 15 ml/kg
|
 |
 |
 |
 |
PLATELETS
• Typically, around 3.5 to 5.5 × 1011 platelets per unit
• Will increase platelet count by 20,000 to 40,000/µL in an averaged-sized adult
• Smaller increase in someone with a larger body mass
• Larger increase in someone with a smaller body mass
Active Bleed
• Most patients
> Platelets < 50,000/µL
> Including DIC
• Central nervous system bleed
> Platelets < 100,000/µL
• Address factors that my contribute to bleeding
> Surgical/anatomic lesion
> Coagulopathy
> Acquired/inherited platelet function disorder
|
Prevention of Spontaneous Bleeding
• No ideal test to predict who will spontaneously bleed
>Bleeding time, thromboelastography (TEG) not helpful
• Much more likely when platelets < 5000/ µL
• Possible indicators
> Platelet count at which last spontaneously bled
> Mucosal bleeding, epistaxis
> Coexisting inflammation, infection, fever
|
Preparation for Invasive Procedure
• Neurosurgery, ocular surgery < 100,000/µL
• Neuraxial analgesia/anesthesia < 80,000/µL
• Most other major surgeries < 50,000/µL
|
Preparation for Invasive Procedure
• Endoscopy < 50,000/µL
• Bronchoscopy with bronchoalveolar lavage (BAL) < 20,000 to 30,000/µL
• Low-risk diagnostic procedures < 20,000/µL
|
 |
 |
 |
 |
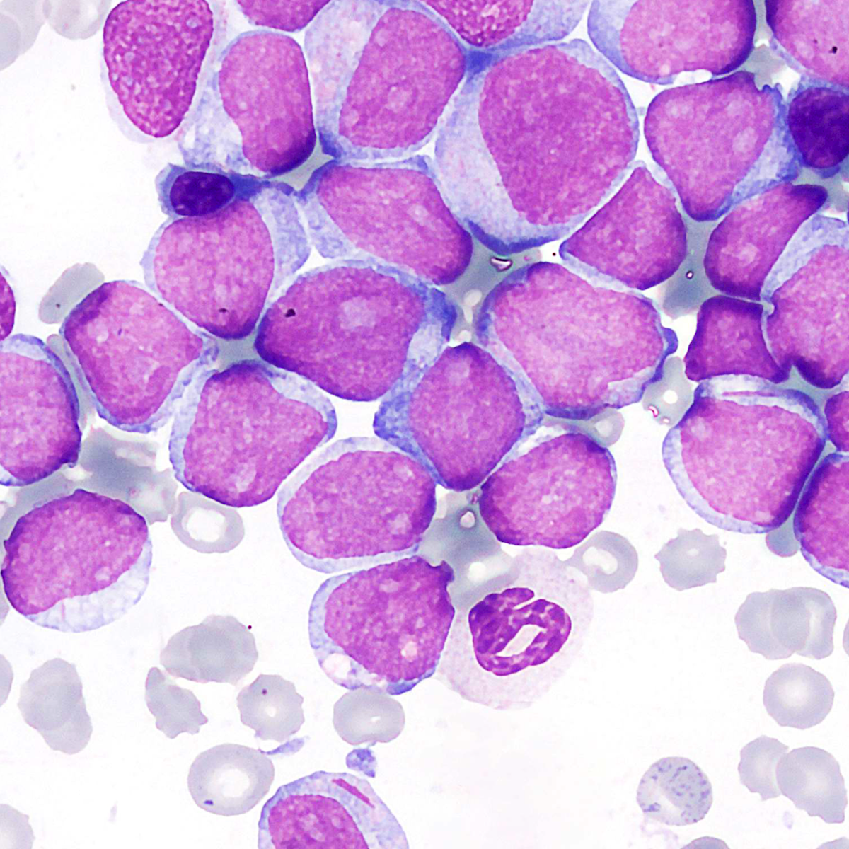
Leukemias
• Acute myeloid leukemia (AML)
> Can have suppressed bone marrow from the AML, chemotherapy, or HSCT
> < 10,000/µL
> Higher if petechial bleeding
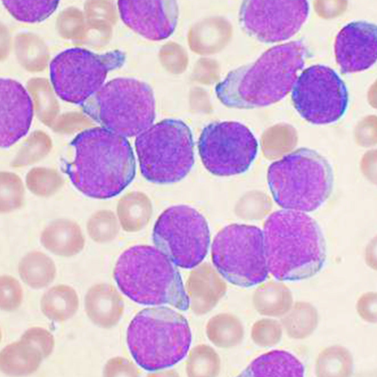
• Acute promyelocytic leukemia (APL)
> Often have severe coagulopathy ?higher risk for DIC and bleeding
> < 30,000 to 50,000/µL
> Immediate transfusion if signs of bleeding
|
Leukemias
• Acute lymphoblastic leukemia (ALL)
> Have bone marrow suppression
> Risk of life-threatening bleeding is low
> < 10,000/?L
|
Chemotherapy for Solid Tumors
• Often suppresses bone marrow
• < 20,000/µL if necrosis
• < 10,000/µL if no necrosis
|
|
 |
 |
 |
Others
• Hematopoietic Stem Cell Transplant
> Bone marrow is suppressed
> < 10,000/µL
• Immune thrombocytopenia (ITP)
> Produce antiplatelet antibodies
> Circulating platelets tend to be highly functional
> Bleeding is rare, even with severe thrombocytopenia
> Transfuse if bleeding
|
Others
• Thrombotic thrombocytopenic purpura (TTP) and heparin-induced thrombocytopenia (HIT)
>Disorders of platelet consumption
> Increased risk of bleeding
> Platelet activation increases thrombosis risk
> Do not withhold platelet transfusion due to concerns about exacerbating thrombotic risk
> Transfuse if bleeding or anticipated to bleed due to an invasive procedure
|
Others
• Liver Disease and DIC
• Thrombocytopenia
• Complex mixture of procoagulant and anticoagulant effects
• Increased risk for both bleeding and thrombosis
•Transfuse if…
> Bleeding
> High risk for bleeding, e.g. post-surgery
> Invasive procedure
|
Others
• Platelet function disorders
• Can be inherited or acquired
• Transfuse if bleeding
|
 |
 |
 |
 |
CRYOPRECIPITATE
|

|
Composition
• Manufactured by thawing frozen plasma at 1 to 6oC: proteins precipitate out
> Fibrinogen
> Factor VIII
> Factor XIII
> Fibronectin
> Von Willebrand factor
|
Uses
• Low/dysfunctional fibrinogen with bleeding or a high risk of bleeding
• Hereditary fibrinogen disorders
> Can cause afibrinogenemia, hypofibrinogenemia, dysfibrinogenemia, or hypodysfibrinogenemia
> First-line treatment fibrinogen concentrate
> Use cryoprecipitate if this is not available
|
Uses
• Cardiac surgery
> Bypass causes acquired fibrinogenemia
> Associated with excessive bleeding, especially when fibrinogen < 200 mg/dL
• Postpartum hemorrhage
> Blood loss > 500 to 1000 mL
> Increased risk when fibrinogen < 200 mg/dL
|
Uses
• Liver disease
> Use if fibrinogen is very low and there is bleeding or need for a surgical procedure
• DIC
> If serious bleeding or serious concern about bleeding and fibrinogen < 100 mg/dL
• Uremic bleeding
> Bleeding risk is primarily due to platelet dysfunction
> Use if other therapies have been unsuccessful or if there is severe, life-threatening bleeding
|
Inappropriate Uses
• Bleeding due to coagulation factor deficiency
> Congenital hypofibrinogenemia: fibrinogen concentrate
> Hemophilia A (factor VIII deficiency): factor VIII concentrate
> Factor XIII deficiency: factor XIII concentrate
> Von Willebrand disease: Von Willebrand factor concentrate
• May be used if there is bleeding and factor concentrate is not available
|
 |
 |
 |
|
DOSING
• Can be provided as single units or pools containing five or more units
• Check with your blood bank to determine the correct dose
• In a 70 kg patient, each unit increases fibrinogen by 7 to 10 mg/dL
GRANULOCYTES
• Rarely used
• For treatment neutropenic patients with sepsis
• A randomized trial did not demonstrate improved outcomes, but there were not enough patients enrolled to show efficacy
Minimal Criteria
1. Absolute neutrophil count < 500 cells/µL - Except with chronic granulomatosis disease
2. Evidence of bacterial or fungal infection - Symptoms, Cultures, Biopsy, Radiographic
3. Not responsive to antibiotics for at least 48 hours - Unless if infection is life-threatening
4. Bone marrow recovery is likely or there is a plan for potentially curative therapy
Chemotherapy-/HSCT-Induced Neutropenia
• Bone marrow production of all cell lines is suppressed
• Most common use
> Still rare in this population
• Can also use granulocyte colony stimulating factor (G-CSF)
> Response is usually poor
|
Infection Treatment
• Most bacterial and some fungal infections can be controlled with antimicrobials
• Multidrug-resistant bacterial infection and fungal infection in patients with neutropenia remain a major cause of morbidity and mortality
>Consider use in these patients
|
Infection Prophylaxis
• Controversial
• Not done outside of clinical trials
|
Aplastic Anemia
• May be appropriate if neutropenia is severe and bacterial/fungal infection is unresponsive to antimicrobials
• High incidence of HLA alloimmunization: increases risk of transfusion-related acute lung injury (TRALI)
|
 |
 |
 |
 |
Chronic Granulomatous Disease
• Defect in granulocyte function
• May have a normal granulocyte count
• Antimicrobials are usually efficacious
• Use granulocytes if patient continues to deteriorate under maximum antimicrobial therapy
|
Neonatal Sepsis
• Immature granulopoietic system
• May benefit from granulocytes
|
Recipient Response
• Daily morning WBC count and differential
• Absolute neutrophil count (ANC) increase can be quite large: 1000µ/L
• Treatment can vary from three days to months
|
Stopping Criteria
• Infection is resolved based on clinical signs/symptoms and lab/radiological evidence
• Sign of bone marrow recovery:ANC > 500 for three days without granulocytes transfusion
• Poor response and patient changes to palliative care
|
 |
 |
 |
 |
Outreach
Physician available 24/7
Practitioners with transfusion-related questions/issues. Blood bank-related questions/issues. (515) 309-4840.
Educate the medical community to keep them up to date on transfusion-related topics
Presentations to medical personnel. Contact: alex.smith@lifeservebloodcenter.org
Quarterly webinars
www.lifeservebloodcenter.org/for-hospitals/resource-guide/education
To request to be on the notification list please contact Shelly Schnell-Petersen: Shelly.Schnell- Petersen@lifeservebloodcenter.org